Фото до и после, примеры работ
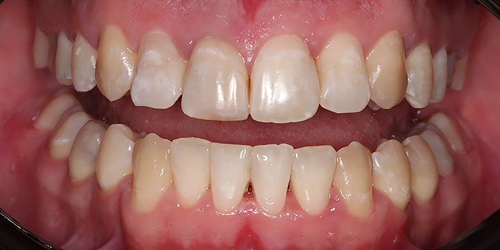
В данном случае всего за две недели преобразили улыбку при помощи семи премиальных лабораторных керамических виниров.
Восстановление зуба после хоккейного матча. Прямая реставрация в один визит материалом Enamel plus HRi.
Моделирование улыбки, точная подготовка зубов под микроскопом и керамические виниры с нанесением E.MAX — всё это даёт непревзойдённый результат.
Даже этот случай, как и 90%, является базовым кейсом ортодонтического лечения. В некоторых случаях ортодонтия может быть дороже на 10-20%, но это будет понятно уже до начала старта и отразится в вашем плане лечения.
Это самый распространённый и коварный вид кариеса. Апроксимальный кариес не видно невооружённым взглядом, он поражает сразу два зуба и беспокоить начинает, когда зубы уже серьёзно повреждены.
Поэтому так важно регулярно посещать стоматолога. Во время визита доктор обязательно увидит этот кариес и вылечит его на ранней стадии.
Это несомненно самый эффективный метод отбеливания. Только этот вид отбеливания даёт наиболее предсказуемый и яркий результат.
Только Zoom 4 с высокой вероятностью позволяет добиться оттенков «Блич» (оттенки белее природного белого). Другой способ добиться таких оттенков на зубах — это коронки и виниры!
Запишитесь на первичную консультацию-диагностику
в нашей клинике
+7 (495) 260-10-36 Заказать обратный звонок
Кропоткинская Парк культуры
1-й Обыденский пер., 10, Москва Бесплатная парковка для пациентов
Построить маршрут












