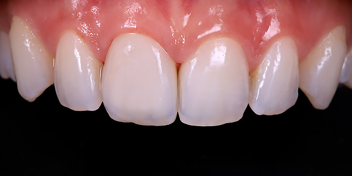
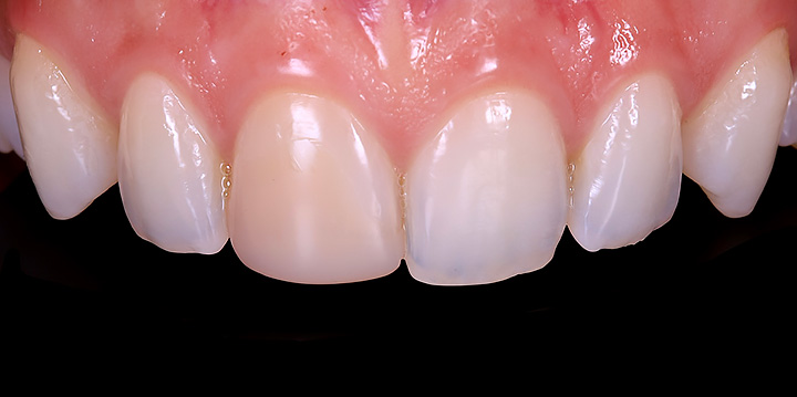
- эстетическое восстановление зубов (художественная реставрация), в том числе малоинвазивная реставрация;
- композитные виниры, создаваемые за одно посещение стоматологической клиники;
- восстановление эстетики, функции жевания и дикции различными способами микропротезирования и протезирования (виниры, импланты, металлокерамические, циркониевые, керамические коронки и другие виды несъемного и съемного протезирования)
Основные навыки:
- Художественная реставрация фронтального отдела
- Композитные виниры без обточки
- Протезирование керамическими винирами, вкладками, коронками
- Протезирование на имплантатах
- All-on-4, 6, 8
- Изготовление съемных и бюгельных протезов
- Комплексная диагностика и лечение заболеваний ВНЧС
- Диплом по специальности «Стоматология», Новосибирский государственный медицинский университет — 2020
- Ординатура по специальности «Стоматология ортопедическая», Российский университет дружбы народов им. Патриса Лумумбы — 2022
В поиске совершенной эстетики
Я всю жизнь искал себя в художественной сфере, чтобы быть ближе к красоте, эстетике, создавать её самому. Долгое время планировал поступать в архитектурный, закончил художественную школу с красным дипломом (7 лет), далее продолжительное время занимался индивидуально с художником Веровым В.В (входит в состав союза Худ.России) около 8 лет, но потом в моей жизни что-то пошло не так и теперь я преображаю улыбки винирами.

Видео о враче
Отзывы о работе врача
Очень благодарен за его работу. Делали мне отбеливание и реставрацию передних зубов. Доктор хоть и долго, но качественно сделал работу. Мы устанавливали композиты, а выглядит один в один, как виниры керамические. Все знакомые, кто видит, не верит, что за такие деньги я получил этот великолепный результат.
Прохожу ортопедическое лечение у Потапова Дениса Алексеевича, очень вежливый и грамотный специалист. Прием проходит комфортно. Все рассказывает и показывает наглядно. Рекомендую))
Я установила импланты 4 месяца назад в клинике Дева-Дент и пришло время ставить коронки. Записалась в эту же клинику к ортопеду Потапову Денису Алексеевичу. Моя огромная благодарность за качественную работу и такой человеческий подход.
Денис тщательно планировал мою новую улыбку. Мы установили 20 коронок и теперь я исполнила мечту всей жизни и у меня голливудская улыбка. Доктор предлагал разные варианты по стоимости и мы выбрали оптимальную цену. Сама клиника в центре Москвы и мне удобно было добираться до них. Администраторы всегда вежливы и в долгих перерывах даже меня кормили 🙂 а это уже высший уровень сервиса и заботы.
В данной клинике прохожу лечение не первый год. Лечение, удаление, на данном этапе протезирование у Потапова Дениса Алексеевича. Всё хорошо, согласовано, с заботой и рекомендациями. Не навязывают без надобности дополнительные услуги. В общем кто ценит время, деньги и конечный результат советую обратиться, думаю не пожалеете))
Лечил кариес на двух передних резцах сверху у доктора Потапова Дениса Алексеевича — пломбы просто ювелирные, абсолютно незаметные! Зубы как новенькие)) Спасибо Вам огромнейшее! У Вас золотые руки!
Обратилась в клинику Дева-Дент за консультацией ортопеда, мне нужно было ставить несколько коронок. Меня записали к Потапову Денису Алексеевичу. Доктор проводит очень обширную консультацию (показал фото своих работ, ответил на все интересующиеся вопросы). После осмотра мне составили подробный план лечения. Я очень довольна доктором и клиникой в целом. Клиника современная и уютная.





