Художественная реставрация зубов
Реставрация скола зуба
Иногда это просто судьба. Можно сколоть зуб накусив вилку или косточку во время еды.
Ну а спорт и подобные травмы всегда идут рядом, будьте осторожны и надевайте капу.
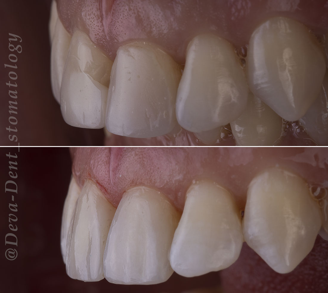
И вот опять хоккей, опять игра! В этот раз любитель и неудачное столкновение с бортиком.
Прямая реставрация в один визит материалом Enamel plus HRi.
Художественная реставрация щербинки на передних зубах
С некоторыми своими маленькими недостатками совершенно не стоит смиряться.
Всего один час и один приём у стоматолога, и ваша улыбка преображается!
Художественная реставрация нанокомпозитным материалом Enamel plus Hri даёт совершенный и долговечный эстетический результат.
Композитные виниры — это тоже художественная реставрация
На фото представлена реставрация композитными винирами двух центральных резцов из материала Enamel plus HRi.
Пациенту нужно было срочно восстановить улыбку. Работа выполнена за один визит!
Замена пломбы в зоне улыбки
Это стандартная проблема: пломба изготовленная из стандартного пломбировочного материала со временем темнеет.
Заменить пломбу в зоне улыбки не так просто, как может показаться. Пломба должна идеально соответствовать по цвету. При дневном или искусственном свете её не должно быть видно!
Со временем потемнеть может и самый дорогой материал. Все зависит от образа жизни и качества гигиены. При должном внимании и регулярной профессиональной гигиене цвет пломбы сохранится на пять лет и более.
Запишитесь на первичную консультацию-диагностику
в нашей клинике
+7 (495) 260-10-36 Заказать обратный звонок
Кропоткинская Парк культуры
1-й Обыденский пер., 10, Москва Бесплатная парковка для пациентов
Построить маршрут
