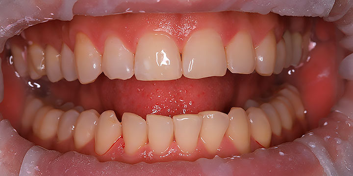
В Дева-Дент я работаю стоматологом-гигиенистом с уклоном в хирургию и пародонтологию. При гигиене я особенно обращаю внимание на состояние дёсен и работаю по протоколу пародонтологической настороженности.
После гигиены я консультирую по общим вопросам, провожу диагностику и квалифицированно направляю к узкопрофильным специалистом. Со мной вы проведете время с пользой в комфортной обстановке и без боли.
В 2021 году поступил в Российский университет медицины
- 2024г. Новые концепции пародонтологии
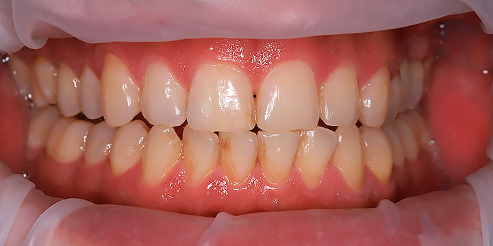
Качественная гигиена — это мой конёк!
Прекрасно понимаю, что визит к стоматологу может вызывать тревогу. Поэтому я делаю все возможное, чтобы создать максимально комфортную и спокойную атмосферу, подробно объясняю каждый этап процедуры и всегда открыт для ваших вопросов. Моя миссия проста: сохранить ваши зубы здоровыми и красивыми на долгие годы с помощью эффективной профилактики.

Видео врача Котенева Алексея
Отзывы о работе врача
Был на чистке у Алексея Викторовича, очень понравилось. Специалист подробно расписал все шаги процедуры, что придало чувство уверенности и понимание чего ожидать. Сама чистка была проведена качественно, результат очень порадовал. Спасибо Вам большое, Алексей!
Добрый день! ☺️ Ходила в первый раз в Deva-Dent на плановую проф.гигиену, хотела бы выразить искреннюю благодарность администраторам за теплый прием, а также огромную благодарность стоматологу Алексею Викторовичу за его внимательное, чуткое и по-настоящему профессиональное отношение к пациентам. Чувствуется его большое и доброе сердце! Для меня очень ценно, когда врач не только качественно выполняет процедуру, но и создает атмосферу доверия и спокойствия. Буду рекомендовать своим близким людям! ☀️
Клиника классная, удобное расположение, чисто уютно. Мило, что заранее написали и предложили к визиту на выбор кофе, чай или лимонад.
Ходили с мужем на гигиеническую чистку к доктору Алексею. Расположил с первой секунды, заботливо проговаривал каждое свое действие, включил фильм, сделал фото до/после. Процедура сама по себе не из приятных, но конкретно эта оставила только приятные впечатления????
В конце Алексей еще подарил комплименты от клиники: диффузор для дома и автопарфюм в машину. Ну, супер же????
Хочу выразить огромную благодарность Котеневу Алексею Викторовичу — стоматолог от бога. С детства преследует страх оказаться снова в стоматологическом кресле, но, попав к Алексею Викторовичу, страх практически моментально улетучился, как будто его и вовсе не было. Какое-то волшебство, честное слово.
Разложил все по полочкам, объяснил до мелочей человеку, не находящемуся «в теме», что после не осталось никаких вопросов «как? что? зачем? и почему?», а в течение всего лечения поддерживал, чтобы не было страшно. Безумно внимательный, чуткий, аккуратный, с ним ощущаешь себя в безопасности и точно знаешь, что находишься в нужных руках. После лечения дал советы по уходу за полостью рта и досконально объяснил все, что раньше было непонятно. Профессионал своего дела и перфекционист до мозга костей. Однозначно советую.
Хочу выразить благодарность стоматологической клинике Дева Дент за отличный сервис и профессионализм. Особенно хочу отметить Котенева А.В., (ооочень дорожу такими хирургами)который провел безболезненное удаление зубов мудрости. Врач настоящий мастер своего дела: процедура прошла быстро, мягко и без неприятных ощущений. Вся команда клиники внимательна, клиника оснащена современным оборудованием, что вызывает доверие и комфорт. Рекомендую Дева Дент всем, кто ценит качество и заботу о своем здоровье!










