- аномалии развития зубов;
- неправильный прикус,
- ретенция зубов,
- детская ортодонтия
- эстетика улыбки.
- лечение на брекетах
- лечение на элайнерах,
- лечение на лингвальных брекетах,
- лечение с применением аппарата Марко Росса,
- лечение на детской брекет-системе,
- подготовка к протезированию,
- лечение сложных случаев с ретенцией зубов,
- подготовка к ортогнатической хирургии,
- установка и контроль ретенционных аппаратов.
2016г — Московский государственный медико-стоматологический университет Евдокимова «Стоматология».
2018г. — Первый Московский государственный медицинский университет им. И.М. Сеченова ординатура «Ортодония».
2019 — «Грамотная ортодонтия», Учебный центр «#OrthoLike Training Center», Россия.
2023 — Российская Медицинская академия Непрерывного Профессионального Образования (РМАНПО) «Ортодонтия».
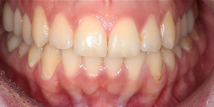
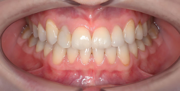
Эстетика улыбки невозможна без прикуса
Лечение у ортодонта очень долгое и рутинное. Я позабочусь о том, чтобы за все время нашей с вами работы не теряли фокуса и энтузиазма получить качественный результат и высокую эстетику своей улыбки! И я гарантирую вам пожизненный результат моего лечения, если мы пройдем весь путь по плану лечения вместе.

Отзывы о работе врача
Обратился в клинику дева дент по поводу брекетов. Мне все подробно рассказали, показали, на все интересующие вопросы ответили. Не было никаких сомнений, чтобы не остаться на лечение. Я очень доволен, что принял решение сделать брекеты в этой клинике, так как персонал очень добрый, отзывчивый, всегда спрашивают о моем состоянии после приема. Сначала прошел лечение у врача гнатолога Дианы Аршаковны, так как у меня были проблемы с открыванием рта. Теперь у меня идет ортодонтический этап лечения у Марии Эдуардовны Ланиной. Каждый прием-удовольствие, как бы странно это не звучало. Врачи очень располагают к себе. В клинике так же очень красивый интерьер, нет запахов лекарств и пугающих картинок с зубами. Перед лечением я очень волновался, но все мои сомнения и переживания исчезли после первой консультации, так как здесь подходят к лечению комплексно. Администраторы тоже очень отзывчивые к клиентам: делают вкусный кофе, пока жду свой прием. Хочу поблагодарить и посоветовать дева дент за свой подход к пациентам во всем!







